×
Il semble que vous utilisiez une version obsolète de internet explorer. Internet explorer n'est plus supporté par Microsoft depuis fin 2015. Nous vous invitons à utiliser un navigateur plus récent tel que Firefox, Google Chrome ou Microsoft Edge.

Devenez membre d'Incathlab et bénéficiez d'un accès complet !

Vous devez être membre pour accéder aux vidéos Incathlab sans limitation. Inscrivez vous gratuitement en moins d'une minute et accédez à tous les services Incathlab ! Vous avez aussi la possibilité de vous connecter directement avec votre compte facebook ou twitter en cliquant sur login en haut à droite du site.

Inscription Connexion


62954 vues

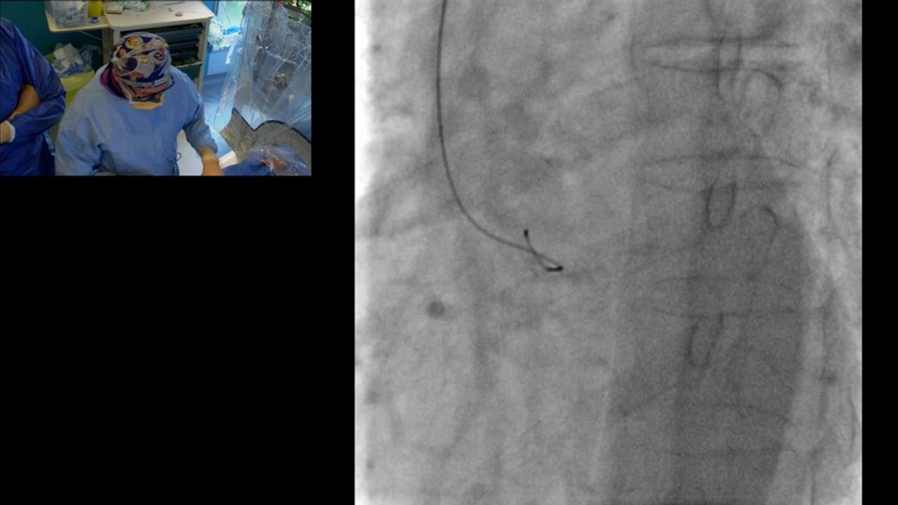
The transradial approach for coronary angioplasty became very popular at both sides of the Atlantic. By reducing local complications and simplifying patient care, this procedure became rather dominant in various European cardiovascular units. We have asked one of the best of them to share with us their current practices and the most recent innovations.

Educational objectives

Share experiences, tips and tricks of the transradial approach in order to help physicians that are interested in this approach to improve their skills

Target audience

Interventional cardiologists

Program of the session (Paris time, GMT+1)

5 pm       - 6 pm :      Introduction and live case.
6 pm       - 6.30 pm:  2 recorded cases.
6.30 pm  - 7 pm:       Discussion / Chat

Operators

Thomas Hovasse, MD, ICPS Massy, France.
Thierry Lefèvre, MD, FESC, FSCAI, ICPS Massy, France.
Yves Louvard, MD, FSCAI, ICPS Massy, France.

Illustrations

Examples of transradial stenting

Terumo Radial Intervention (TRI) solution 

 

Live session produced in collaboration with

 

 

Date du tournage : 06/11/2013
Dernière mise à jour : 09/06/2021

Suggestions

Vendredi 28 mars 2025 de 08h à 22h (GMT+1)
Honolulu : Jeudi 27 mars 2025 de 21h à 11h (GMT+1)
San Francisco : Jeudi 27 mars 2025 de 23h à 13h (GMT+1)
New York : Vendredi 28 mars 2025 de 02h à 16h (GMT+1)
Buenos Aires : Vendredi 28 mars 2025 de 04h à 18h (GMT+1)
London / Dublin : Vendredi 28 mars 2025 de 07h à 21h (GMT+1)
Paris / Berlin : Vendredi 28 mars 2025 de 08h à 22h (GMT+1)
Istanbul : Vendredi 28 mars 2025 de 09h à 23h (GMT+1)
Moscou / Dubaï : Vendredi 28 mars 2025 de 11h à 01h (GMT+1)
Bangkok : Vendredi 28 mars 2025 de 14h à 04h (GMT+1)
Shanghai : Vendredi 28 mars 2025 de 15h à 05h (GMT+1)
Tokyo : Vendredi 28 mars 2025 de 16h à 06h (GMT+1)
Sydney : Vendredi 28 mars 2025 de 17h à 07h (GMT+1)
Wellington : Vendredi 28 mars 2025 de 19h à 09h (GMT+1)

Complex & High-Risk Indicated Procedures

Discover the 6th edition - Day #1

Partager
Lundi 10 juin 2024 de 17h à 18h (GMT+2)
Honolulu : Lundi 10 juin 2024 de 06h à 07h (GMT+2)
San Francisco : Lundi 10 juin 2024 de 09h à 10h (GMT+2)
New York : Lundi 10 juin 2024 de 12h à 13h (GMT+2)
Buenos Aires : Lundi 10 juin 2024 de 13h à 14h (GMT+2)
Reykjavik : Lundi 10 juin 2024 de 16h à 17h (GMT+2)
London / Dublin : Lundi 10 juin 2024 de 17h à 18h (GMT+2)
Paris / Berlin : Lundi 10 juin 2024 de 18h à 19h (GMT+2)
Istanbul : Lundi 10 juin 2024 de 19h à 20h (GMT+2)
Moscou / Dubaï : Lundi 10 juin 2024 de 20h à 21h (GMT+2)
Bangkok : Lundi 10 juin 2024 de 23h à 00h (GMT+2)
Shanghai : Mardi 11 juin 2024 de 00h à 01h (GMT+2)
Tokyo : Mardi 11 juin 2024 de 01h à 02h (GMT+2)
Sydney : Mardi 11 juin 2024 de 03h à 04h (GMT+2)
Wellington : Mardi 11 juin 2024 de 05h à 06h (GMT+2)

L’OCT dans la resténose et thrombose de stent – il est temps d’allumer la lumière !

L’imagerie : un outil indispensable pour gérer les complications post-angioplastie

Partager
Jeudi 1 er juin 2023 de 17h à 18h (GMT+2)
Honolulu : Jeudi 1 er juin 2023 de 06h à 07h (GMT+2)
San Francisco : Jeudi 1 er juin 2023 de 09h à 10h (GMT+2)
New York : Jeudi 1 er juin 2023 de 12h à 13h (GMT+2)
Buenos Aires : Jeudi 1 er juin 2023 de 13h à 14h (GMT+2)
Reykjavik : Jeudi 1 er juin 2023 de 16h à 17h (GMT+2)
London / Dublin : Jeudi 1 er juin 2023 de 17h à 18h (GMT+2)
Paris / Berlin : Jeudi 1 er juin 2023 de 18h à 19h (GMT+2)
Istanbul : Jeudi 1 er juin 2023 de 19h à 20h (GMT+2)
Moscou / Dubaï : Jeudi 1 er juin 2023 de 20h à 21h (GMT+2)
Bangkok : Jeudi 1 er juin 2023 de 23h à 00h (GMT+2)
Shanghai : Vendredi 2 juin 2023 de 00h à 01h (GMT+2)
Tokyo : Vendredi 2 juin 2023 de 01h à 02h (GMT+2)
Sydney : Vendredi 2 juin 2023 de 03h à 04h (GMT+2)
Wellington : Vendredi 2 juin 2023 de 05h à 06h (GMT+2)

The safe use of DCB in PCI:

from young to old patients

Partager
Scroll Up